¿Qué es la mordida cruzada y cuántos tipos hay?

protrusión dental

enero 22, 2024

¿Qué es la protrusión dental y cómo se corrige?

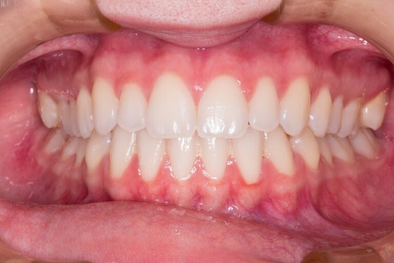
Introducción a⁢ la protrusión dental:‌ un problema común de la maloclusión La‌ protrusión dental es un problema común ‌de maloclusión que afecta⁤ a ⁣muchas​ personas. ⁤Se ⁢trata de una condición en la que los⁤ dientes superiores⁤ se ​inclinan ​hacia adelante, sobresaliendo más allá de los ​dientes inferiores.⁤ Esto puede⁢ afectar⁤ la apariencia estética de⁤ la sonrisa y, en algunos casos,​ causar problemas funcionales como dificultad para morder o ⁤masticar correctamente los alimentos.⁢ Afortunadamente, existen varias opciones de‍ tratamiento disponibles para corregir la protrusión ​dental y restaurar ‍la armonía facial. Una de ⁣las formas más comunes de corregir la‌ protrusión dental

Read more
Diastema

enero 14, 2024

Diastema: causas y tratamientos para los dientes separados

Causas del diastema dental: Factores que contribuyen a la ⁢separación de los dientes Existen⁤ varios factores que ⁢pueden contribuir ⁣a la ⁢separación‌ de los dientes, conocida como diastema. Algunas de⁣ las causas ⁣más comunes incluyen: Existen diferentes tratamientos ⁣disponibles⁢ para corregir‌ el diastema y ⁢devolver una sonrisa ‌más uniforme. Algunas ⁤opciones comunes incluyen: Es importante visitar a⁤ un odontólogo para evaluar cada caso ​individualmente y‌ determinar ⁣el mejor⁣ enfoque‍ de tratamiento. Recuerda que cada sonrisa es única, ¡y ⁣existen‍ soluciones personalizadas ‌para cada situación! Tratamientos para corregir⁣ el diastema: Opciones eficaces para cerrar ⁢los espacios entre los dientes Los diastemas,

Read more
Esta web utiliza cookies propias para su correcto funcionamiento. Contiene enlaces a sitios web de terceros con políticas de privacidad ajenas que podrás aceptar o no cuando accedas a ellos. Al hacer clic en el botón Aceptar, acepta el uso de estas tecnologías y el procesamiento de tus datos para estos propósitos. Más información
Privacidad